Acr White Paper Mri 2020

Contextual Structured Reporting In Radiology Implementation And Long Term Evaluation In Improving The Communication Of Critical Findings Springerlink

The jacr and acr bulletin provide topics relevant to the practice of radiology and information about the college s.

Acr white paper mri 2020. 2013 magnetic resonance mr personnel expanded staffing guidance to align with the veterans health administration directive on mr safety 2018. 1891 preston white dr. We offer accreditation programs in mammography ct mri breast mri nuclear medicine and pet ultrasound breast ultrasound and stereotactic breast biopsy. Acr accreditation website.

Establish implement and maintain. Version 2020 of the acr manual on contrast media was published in january 2020 as a web based product. Mri continues to evolve and mature providing mr services that are among the most powerful yet safest of all diagnostic procedures to be developed in the history of modern medicine. The acr manual on mr safety addresses numerous mr.

The acr has accredited more than 39 000 facilities in 10 imaging modalities. Since the publication of the foundational american college of radiology white paper on mr safety in 2002 there have been several revisions adding critical knowledge to the. Risks in the magnetic resonance mr environment continue to evolve with the more common use of higher field strength magnets higher radiofrequency rf frequencies and more complex equipment. Since the publication of the foundational american college of radiology white paper on mr safety in 2002 there have been several.

4 15 2020 all creation of the acr manual on mr safety based on the reorganization and updates to previously published acr guidance document on mr safe practices. Acr white paper on magnetic resonance mr safety combined papers of 2002 and 2004 acr magnetic resonance safe practice guidelines combined papers of 2002 and 2004 a. Mr safety continues to evolve and in response the acr s committee on mr safety created the acr manual on mr safety with updates and critical new information which replaces all earlier versions of the acr guidance document on mr safe practices. Reston va 20191 703 648 8900.

An incidental finding also known as an incidentaloma may be defined as an incidentally discovered mass or lesion detected by ct mri or other imaging modality performed for an unrelated reason an increase in the utilization of cross sectional imaging examinations over the past three. Expectation of formal safety roles. Today with the advent of higher field strength magnets higher radiofrequencies and more complex mr environments the risks in the mr environment continue to emerge. Risks in the magnetic resonance mr environment continue to evolve with the more common use of higher field strength magnets higher radiofrequency rf frequencies and more complex equipment.

Mri Zone Safety Signs Mri Radiology Zone

Mri Zone Safety Signs Mri Radiology Zone

Managing Incidental Findings On Abdominal And Pelvic Ct And Mri Part 3 Radvoice Mri Abdominal Healthcare Organizations

Managing Incidental Findings On Abdominal And Pelvic Ct And Mri Part 3 Radvoice Mri Abdominal Healthcare Organizations

Photoshop Metal Gold Text Effect In 2020 Gold Text Text Effects Photoshop

Photoshop Metal Gold Text Effect In 2020 Gold Text Text Effects Photoshop

Https Www Acr Org Media Acr Images Bulletin 2020 2020 Pdfs April 2020 Bulletin Web Pdf

Https Www Acr Org Media Acr Images Bulletin 2020 2020 Pdfs April 2020 Bulletin Web Pdf

Https Www Acr Org Media Acr Files Dxit Txit Acr 2017 Dxit Exam Set Pdf

Https Www Acr Org Media Acr Files Dxit Txit Acr 2017 Dxit Exam Set Pdf

Contextual Structured Reporting In Radiology Implementation And Long Term Evaluation In Improving The Communication Of Critical Findings Springerlink

Contextual Structured Reporting In Radiology Implementation And Long Term Evaluation In Improving The Communication Of Critical Findings Springerlink

Floral Honey Bee Celebrate Or Birthday Card Made Using The Stampin Up Honey Bee Bundle And Forever Blossoms Bund In 2020 Bee Cards Card Making Birthday Floral Cards

Floral Honey Bee Celebrate Or Birthday Card Made Using The Stampin Up Honey Bee Bundle And Forever Blossoms Bund In 2020 Bee Cards Card Making Birthday Floral Cards

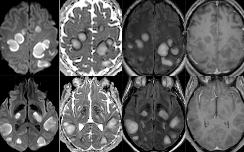
Brain Mri Findings In Covid 19

Brain Mri Findings In Covid 19

Mri Zone Safety Signs Mri Radiology Zone

Mri Zone Safety Signs Mri Radiology Zone

Https Www Ajronline Org Doi Pdfplus 10 2214 Ajr 182 5 1821111

Https Www Ajronline Org Doi Pdfplus 10 2214 Ajr 182 5 1821111

Ad Mixed Media Photoshop Action By Mri Studio On Creativemarket Mixed Media Photoshop Action Now Show Discoun In 2020 Photoshop Actions Photoshop Painting Photoshop

Ad Mixed Media Photoshop Action By Mri Studio On Creativemarket Mixed Media Photoshop Action Now Show Discoun In 2020 Photoshop Actions Photoshop Painting Photoshop

Medical Sciences Free Full Text Neuroimaging Of Traumatic Brain Injury Html

Medical Sciences Free Full Text Neuroimaging Of Traumatic Brain Injury Html

Multi Institutional Study Looks At Brain Mri Findings In Covid 19

Multi Institutional Study Looks At Brain Mri Findings In Covid 19

Pdf Management Of Incidental Pituitary Findings On Ct Mri And 18f Fluorodeoxyglucose Pet A White Paper Of The Acr Incidental Findings Committee Semantic Scholar

Pdf Management Of Incidental Pituitary Findings On Ct Mri And 18f Fluorodeoxyglucose Pet A White Paper Of The Acr Incidental Findings Committee Semantic Scholar

Https Acsearch Acr Org Docs 69472 Narrative

Https Acsearch Acr Org Docs 69472 Narrative

Https Www Acr Org Media Acr Files Rads Pi Rads Pirads V2 1 Pdf

Https Www Acr Org Media Acr Files Rads Pi Rads Pirads V2 1 Pdf

Standardized Image Interpretation And Post Processing In Cardiovascular Magnetic Resonance 2020 Update Springerlink

Standardized Image Interpretation And Post Processing In Cardiovascular Magnetic Resonance 2020 Update Springerlink

Responding To Racial Inequity American College Of Radiology

Responding To Racial Inequity American College Of Radiology

B1egqwuuj4dkum

B1egqwuuj4dkum

Chest Ct Findings Of Patients Infected With Novel Coronavirus 2019 Ncov Pneumonia Imaging Technology News

Chest Ct Findings Of Patients Infected With Novel Coronavirus 2019 Ncov Pneumonia Imaging Technology News

Copy Shop Photocopy Effects Kit In 2020 Image Editing Software Halftone Pattern Photoshop Actions

Copy Shop Photocopy Effects Kit In 2020 Image Editing Software Halftone Pattern Photoshop Actions

Kodak Films Adobe Camera Raw Filters Kodak Film Adobe Camera Raw Camera Raw

Kodak Films Adobe Camera Raw Filters Kodak Film Adobe Camera Raw Camera Raw

Ektdsmf1q4m8cm

Ektdsmf1q4m8cm

Inter And Intrareader Agreement Of Ni Rads In The Interpretation Of Surveillance Contrast Enhanced Ct After Treatment Of Oral Cavity And Oropharyngeal Squamous Cell Carcinoma American Journal Of Neuroradiology

Inter And Intrareader Agreement Of Ni Rads In The Interpretation Of Surveillance Contrast Enhanced Ct After Treatment Of Oral Cavity And Oropharyngeal Squamous Cell Carcinoma American Journal Of Neuroradiology

Factors Affecting Adherence To Recommendations For Additional Imaging Of Incidental Findings In Radiology Reports Sciencedirect

Factors Affecting Adherence To Recommendations For Additional Imaging Of Incidental Findings In Radiology Reports Sciencedirect

Detection Of Distant Metastases In Rectal Cancer Contrast Enhanced Ct Vs Whole Body Mri Springerlink

Detection Of Distant Metastases In Rectal Cancer Contrast Enhanced Ct Vs Whole Body Mri Springerlink

Https Www Ajronline Org Doi Pdfplus 10 2214 Ajr 184 1 01840283

Https Www Ajronline Org Doi Pdfplus 10 2214 Ajr 184 1 01840283

Https Www Ajronline Org Doi Pdfplus 10 2214 Ajr 06 0911

Https Www Ajronline Org Doi Pdfplus 10 2214 Ajr 06 0911

Pineal Cyst Radiology Reference Article Radiopaedia Org

Pineal Cyst Radiology Reference Article Radiopaedia Org

Changing The Culture Of Thyroid Nodule Workup American College Of Radiology

Changing The Culture Of Thyroid Nodule Workup American College Of Radiology

Cognitive Dysfunction Associates With White Matter Hyperintensities And Subcortical Atrophy On Magnetic Resonance Imaging Of The Elderly Diabetes Mellitus Japanese Elderly Diabetes Intervention Trial J Edit Akisaki 2006 Diabetes Metabolism Research

Cognitive Dysfunction Associates With White Matter Hyperintensities And Subcortical Atrophy On Magnetic Resonance Imaging Of The Elderly Diabetes Mellitus Japanese Elderly Diabetes Intervention Trial J Edit Akisaki 2006 Diabetes Metabolism Research

Https Www Ajronline Org Doi Pdfplus 10 2214 Ajr 175 2 1750353

Https Www Ajronline Org Doi Pdfplus 10 2214 Ajr 175 2 1750353

Fetal Mri An Approach To Practice A Review Abstract Europe Pmc

Fetal Mri An Approach To Practice A Review Abstract Europe Pmc

Study Shows Revised Acr Categories May Help Inform Follow Up On Pancreatic Cysts

Study Shows Revised Acr Categories May Help Inform Follow Up On Pancreatic Cysts

Nnobsvqifmhuem

Nnobsvqifmhuem

The Characteristic Splenic Calcifications Of Systemic Lupus Erythematosus Springerlink

The Characteristic Splenic Calcifications Of Systemic Lupus Erythematosus Springerlink

Slight Dilatation Of The Main Pancreatic Duct And Presence Of Pancreatic Cysts As Predictive Signs Of Pancreatic Cancer A Prospective Study Radiology

Slight Dilatation Of The Main Pancreatic Duct And Presence Of Pancreatic Cysts As Predictive Signs Of Pancreatic Cancer A Prospective Study Radiology

Pro Car Enhance Photoshop Action Photoshop Actions Vintage Photoshop Actions Photoshop Retro

Pro Car Enhance Photoshop Action Photoshop Actions Vintage Photoshop Actions Photoshop Retro

Stroke Imaging Practice Essentials Computed Tomography Magnetic Resonance Imaging

Stroke Imaging Practice Essentials Computed Tomography Magnetic Resonance Imaging

Breast Mri Springerlink

Breast Mri Springerlink

Https Onlinelibrary Wiley Com Doi Pdf 10 1002 Mrm 28110

Https Onlinelibrary Wiley Com Doi Pdf 10 1002 Mrm 28110

Engraved Effect Photoshop Action In 2020 Photoshop Actions Photoshop For Photographers Photoshop Painting

Engraved Effect Photoshop Action In 2020 Photoshop Actions Photoshop For Photographers Photoshop Painting

Functional Engagement Of White Matter In Resting State Brain Networks Sciencedirect

Functional Engagement Of White Matter In Resting State Brain Networks Sciencedirect

Ismrm Mr Safety Guidance Documents And Links

Ismrm Mr Safety Guidance Documents And Links

The Incidental Splenic Mass At Ct Does It Need Further Work Up An Observational Study Radiology

The Incidental Splenic Mass At Ct Does It Need Further Work Up An Observational Study Radiology

Http Www Ajnr Org Content 41 7 Complete Issue Pdf

Http Www Ajnr Org Content 41 7 Complete Issue Pdf

Solid Hypoechoic Adnexal Lesions With Acoustic Shadowing Warrant An Mri Recommendation In The O Rads Risk Stratification And Management System Radiology

Solid Hypoechoic Adnexal Lesions With Acoustic Shadowing Warrant An Mri Recommendation In The O Rads Risk Stratification And Management System Radiology

Reporting Of Incidental Thyroid Nodules On Ct And Mri Radiology Blog Post Radiopaedia Org

Reporting Of Incidental Thyroid Nodules On Ct And Mri Radiology Blog Post Radiopaedia Org

Mr Enterographic Manifestations Of Small Bowel Crohn Disease Radiographics

Mr Enterographic Manifestations Of Small Bowel Crohn Disease Radiographics

Pdf Ct Guided Percutaneous Aspiration Of Tarlov Cyst A Case Report Of 2 Year Follow Up

Pdf Ct Guided Percutaneous Aspiration Of Tarlov Cyst A Case Report Of 2 Year Follow Up

Source : pinterest.com